ºü¸¥ »ó´ã ½Åû

°³ÀÎÁ¤º¸ÀÇ ¼öÁý ¹× ÀÌ¿ë¸ñÀû µ¿ÀÇ [³»¿ëº¸±â]


- -
»ó´ã½Åû

¢º °³ÀÎÁ¤º¸ÀÇ ¼öÁý ¹× ÀÌ¿ë¸ñÀû
- ¼­ºñ½º À̿뿡 µû¸¥ º»Àνĺ°, ½Ç¸íÈ®ÀÎ, °¡ÀÔÀÇ»ç È®ÀÎ
- °íÁö»çÇ× Àü´Þ, ºÒ¸¸Ã³¸® ÀÇ»ç¼ÒÅë °æ·Î È®º¸
- ½Å±Ô ¼­ºñ½º µî ÃÖ½ÅÁ¤º¸ ¾È³» ¹× °³ÀθÂÃã¼­ºñ½º Á¦°øÀ» À§ÇÑ ÀÚ·á
- ±âŸ ¿øÈ°ÇÑ ¾çÁúÀÇ ¼­ºñ½º Á¦°ø µî
¢º ¼öÁýÇÏ´Â °³ÀÎÁ¤º¸ÀÇ Ç׸ñ
- À̸§, ÁÖ¼Ò, ¿¬¶ôó, ÇÚµåÆù¹øÈ£, ±× ¿Ü ¼±ÅÃÇ׸ñ
¢º °³ÀÎÁ¤º¸ÀÇ º¸À¯ ¹× ÀÌ¿ë±â°£
- ¿øÄ¢ÀûÀ¸·Î °³ÀÎÁ¤º¸ÀÇ ¼öÁý ¶Ç´Â Á¦°ø¹ÞÀº ¸ñÀû ´Þ¼º ½Ã Áöü ¾øÀÌ ÆÄ±âÇÕ´Ï´Ù.
- ´Ù¸¸, ¿øÈ°ÇÑ ¼­ºñ½ºÀÇ »ó´ãÀ» À§ÇØ »ó´ã ¿Ï·á ÈÄ ³»¿ëÀ» 3°³¿ù°£ º¸À¯ÇÒ ¼ö ÀÖÀ¸¸ç ÀüÀÚ»ó°Å·¡¿¡¼­ÀÇ ¼ÒºñÀÚº¸È£¿¡ °üÇÑ ¹ý·ü µî Ÿ¹ý·ü¿¡ ÀÇÇØ º¸Á¸ÇÒ Çʿ䰡 ÀÖ´Â °æ¿ì¿¡´Â ÀÏÁ¤±â°£ º¸Á¸ÇÕ´Ï´Ù.

ÀϹÝÁø·á

ÅëÇÕÄ¡ÀÇÇÐ Àü¹®Àǰ¡ óÀ½ºÎÅÍ ³¡±îÁö Ã¥ÀÓÁø·á

ÁøÇà ´Ü°è¿¡ ¸Â´Â Á¤È®ÇÑ Ä¡·á

ÃæÄ¡Ä¡·á

img

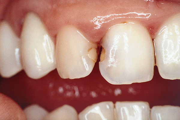
Ä¡°ú 3´ë Áúȯ Áß
°¡Àå ÈçÇÑ ÃæÄ¡(Ä¡¾Æ¿ì½ÄÁõ)

Ä¡¾ÆÀÇ ÆÄ¼Õ¡¤¼Õ»ó, ÃæÄ¡°¡ ¹ß»ýÇÏ°í ³­ ÈÄ ¹æÄ¡ÇØµÎ¸é ¾î´À ¼ø°£ ÅëÁõÀÌ Å©°Ô ´À²¸Áö°Ô µË´Ï´Ù.

À̶§ Ä¡·á¸¦ ¹Ì·ç°Å³ª ¹æÄ¡ÇÏ¸é ¿°ÁõÀÌ ¹ß»ýÇÏ°í ¼¼±Õ¿¡ °¨¿°µÇ¾î ½Å°æÄ¡·á°¡ ÇÊ¿äÇÏ°Ô µË´Ï´Ù.
õ¾È365Ä¡°ú´Â ÁøÇàµÇ°í ÀÖ´Â ÃæÄ¡¿Í Á¤ÁöµÈ ÃæÄ¡¸¦ ±¸º°ÇÏ¿© Ä¡·á ÇØµå¸®°í ÀÖÀ¸¸ç Ä¡¾Æ¸¦ À§ÇØ ²À ÇÊ¿äÇÑ Ä¡·á¸¦ Çϱâ À§ÇØ ³ë·ÂÇϰí ÀÖ½À´Ï´Ù.

ÃæÄ¡ÀÇ ÁøÇà´Ü°è

¹ý¶ûÁú ¿ì½Ä
ÃæÄ¡°¡ ¹ý¶ûÁúÀÇ Ç¥¸é¿¡¸¸ »ý±ä ´Ü°è·Î ¾ÆÇÁÁö´Â ¾ÊÀ¸³ª ¹ý¶ûÁúÀÌ Ä§½ÄµÇ¾î º¸Åë ±î¸Ä°Ô º¯ÇÕ´Ï´Ù.
»ó¾ÆÁú ¿ì½Ä
ÃæÄ¡°¡ ÁøÇàµÇ¾î »ó¾ÆÁú¿¡ À̸£°Ô µÇ¸é¼­ ¿òÇ« ÆÐÀÌ´Â °ø°£ÀÌ »ý±â¸ç Â÷°í ¶ß°Å¿î°ÍÀ» ¸ÔÀ» ¶§ ÅëÁõÀ» ´À³§´Ï´Ù.
Ä¡¼ö¿° ¿ì½Ä
ÃæÄ¡±ÕÀÌ Ä¡¼ö Á¶Á÷±îÁö ħ¼öÇÑ ´Ü°è·Î½á ½Å°æÀÌ ¼Õ»óµÇ¾î Ưº°ÇÑ ÀÚ±ØÀÌ ¾ø¾îµµ ½É°¢ÇÑ ÅëÁõÀ» ´À³§´Ï´Ù.
ÀÕ¸ö»À ¿ì½Ä
Ä¡±Ù°ú ÅλÀ »çÀÌ¿¡ Ä¡Á¶°ñ°ú ÀÕ¸ö±îÁö ¿°ÁõÀÌ ÆÛÁ® À̰¡ Èçµé¸³´Ï´Ù.
ÀÌ·± °æ¿ì ¹ßÄ¡°¡ ºÒ°¡ÇÇ ÇÕ´Ï´Ù.

ÃæÄ¡Ä¡·á, ÀÌ·±ºÐ²² ÃßõÇÕ´Ï´Ù.

  • ÀÎÁ¢ Ä¡¾Æ¿¡ ÃæÄ¡ ÀüÀÌ

  • Ä¡ÁÖÁúȯ¡¤ÀÕ¸öÁúȯ À¯¹ß

  • ±¸Ãë¿Í ¿°Áõ ¹ß»ý

  • ½Å°æ±îÁö ÀüÀÌµÉ °æ¿ì ¹ßÄ¡

Áø·á¾È³» ¹× ¿À½Ã´Â ±æ

¹®ÀÇÀüÈ­

041-572-2828

Áø·á½Ã°£
ÆòÀÏ09:30 - 21:00
ÁÖ¸»¡¤°øÈÞÀÏ09:30 - 17:00
¸íÀý ´çÀÏ09:30 - 12:30
ÈްԽð£
Á¡½É½Ã°£12:30 - 14:00
Àú³á½Ã°£17:00 - 18:00
ÁÖ¼Ò
Ãæ³² õ¾È½Ã ¼­ºÏ±¸ Ãæ¹«·Î 133 3Ãþ (½Ö¿ëµ¿, ºÏÀϺôµù)
(½Ö¿ë¿ª ½ºÅ¸¹÷½º °Ç¹°)